Skip to main content
Restorative Care
A healthy, beautiful smile starts here

Restorative Care | Dentist
Improve your smile today – call to schedule a consultation!
Claim Now!

Restorative Care

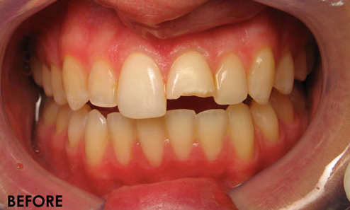
When tooth structure is broken down due to disease, trauma, or poor bite, teeth can be permanently damaged or lost. This destruction increases the risk of dental infection and can compromise the health of surrounding teeth, as well as disrupt the body’s digestive processes.

Restorative techniques utilize the strength of porcelain ceramics and precious metals such as gold and titanium to rebuild teeth to proper shape, size and function. Our goal is to return your smile to a comfortable, disease-free state that is easier to clean and maintain.

This approach also offers the opportunity to enhance smile appearance – we can make teeth appear whiter and sometimes make them look straighter or more evenly aligned by combining cosmetic dentistry techniques with the restorative process.

Replacement of Missing Teeth

In the natural development and aging process, the only teeth that are truly designed to be lost are deciduous teeth, or baby teeth. (The exception being “wisdom” teeth or third molars, which are typically recommended for extraction as they are nearly impossible to keep clean, making them prone to decay and infection).

If a permanent tooth is lost, the oral system malfunctions – in most cases, other teeth will shift into the space that is left open and drift into a spot that does not fit the bite properly. This misalignment causes teeth to come together abnormally, resulting in tooth trauma that can lead to teeth sensitivity, cracked teeth, nerve damage, and eventual loss of other teeth.

Dr. Edwards recommends replacement of missing permanent teeth with a dental prosthesis, such as a bridge, implant and crown, or full or partial denture. The replacement appliance is customized to hold the original tooth position and helps maintain balance in your bite.

Dr. Edwards offers a full complement of Restorative Services, including:

  • All-Porcelain Crowns & Bridges
  • Cosmetic Dentistry
  • Conservative Gold Restorations
  • Porcelain Veneers
  • Porcelain Inlays & Onlays
  • Complete & Partial Dentures    Restoration of Dental Implants
  • Smile Reconstruction
  • White Fillings & Cosmetic Bonding
  • Root Canals

If you are facing challenges with your smile, such as missing or broken-down teeth, you are not alone. Don’t struggle with dental problems – together we can create a plan to save your teeth that fits your schedule and your budget. Contact us today to find out how!

Meet Our Doctor:

Dr. Robert Edwards

Dr. Robert Edwards was born and raised in Atlanta, GA. He graduated form the University of Georgia in 1976 with a degree in Biology. He obtained his DDS degree from Emory University School of Dentistry in 1981.

After practicing in Atlanta for two years, Dr. Edwards opened his practice in Rome in 1983. He is an active member of the American Dental Association, Georgia Dental Association, Academy of General Dentistry, and the Floyd County Dental Society. Dr. Edwards volunteers at the Free Clinic of Rome performing dental treatment to the less ...

Getting an appointment is fast and easy!
Get Started!