Skip to main content
Cosmetic Dentistry
A healthy, beautiful smile starts here

Cosmetic Dentistry | Dentist
Improve your smile today – call to schedule a consultation!
Claim Now!

Cosmetic Dentistry

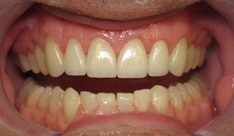
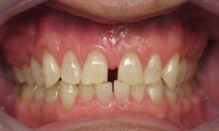
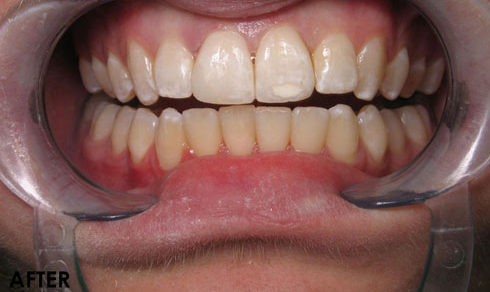
Everyone deserves a beautiful smile! Current materials and techniques in cosmetic centistry allow us to not only change the appearance of your teeth, they offer the added benefit of restoring health and function to your smile in the process.

Our cosmetic services include:

Teeth Whitening

Quickly becoming a popular and economical way to change a smile, teeth whitening procedures can help remove old stains from coffee, wine, tea, smoking, or colas and lighten other discolorations in tooth enamel.

We recommend that our patients use custom mouth trays and professional whitening products to brighten their smile. Wearing these mouthpieces for about an hour a day over a few weeks will lighten most teeth.

Porcelain Crowns & Veneers

Porcelain – The Perfect Complement to a Great Smile

If you look closely at an attractive, bright smile, you will notice that the “white” color is actually a combination of several slightly different shades that reflect light in various ways. Our dental laboratory is able to layer and combine shades and translucency values of dental porcelain to re-create these subtleties, giving Dr. Edwards the ability to design an appealing and natural-looking restoration.

Porcelain Veneers are thin custom-shaped facings that adhere to teeth to cosmetically enhance their appearance with smooth, highly polished porcelain. Veneers can usually be applied with minimal to no drilling or tooth preparation and are frequently used to correct color discrepancies, reshape teeth, close spaces, conceal rotated or undersized teeth, or smooth chipped and worn edges.

Depending on the amount of coverage required to properly restore the tooth, a crown may be used if substantial tooth structure has been lost due to decay, wear, or trauma. A Porcelain Crowns are ideal for replacement of aged crown and bridge work – no metal means no grayed edges!

Meet Our Doctor:

Dr. Robert Edwards

Dr. Robert Edwards was born and raised in Atlanta, GA. He graduated form the University of Georgia in 1976 with a degree in Biology. He obtained his DDS degree from Emory University School of Dentistry in 1981.

After practicing in Atlanta for two years, Dr. Edwards opened his practice in Rome in 1983. He is an active member of the American Dental Association, Georgia Dental Association, Academy of General Dentistry, and the Floyd County Dental Society. Dr. Edwards volunteers at the Free Clinic of Rome performing dental treatment to the less ...

Getting an appointment is fast and easy!
Get Started!