Edwards Family Dentistry
Request an Appointment
Like us on Facebook
Leave a Google Review
(706) 291-2800
Home
About
Our Team
Office Pictures
Services
View All
Preventive Care
Restorative Care
Cosmetic Dentistry
Implant Dentistry
Periodontics
Root Canal Therapy
Sedation Dentistry
Fixed & Removable Orthodontics
Emergency Information
Smile Gallery
Testimonials
Forms
FAQs
Your First Visit
Financial
Contact
Edwards Family Dentistry
>
Smile Gallery
>
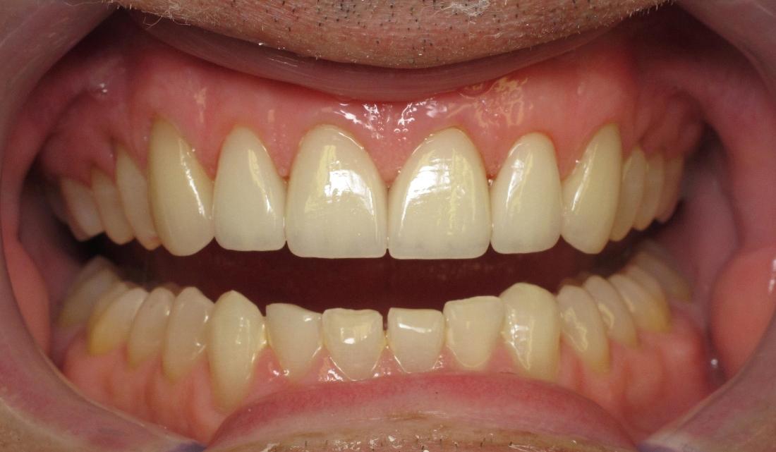
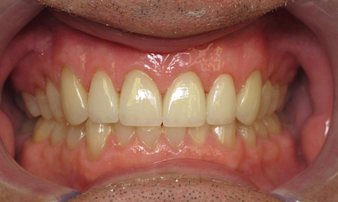
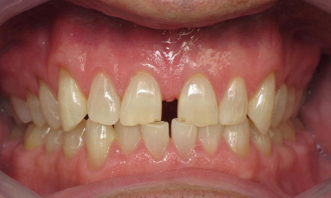
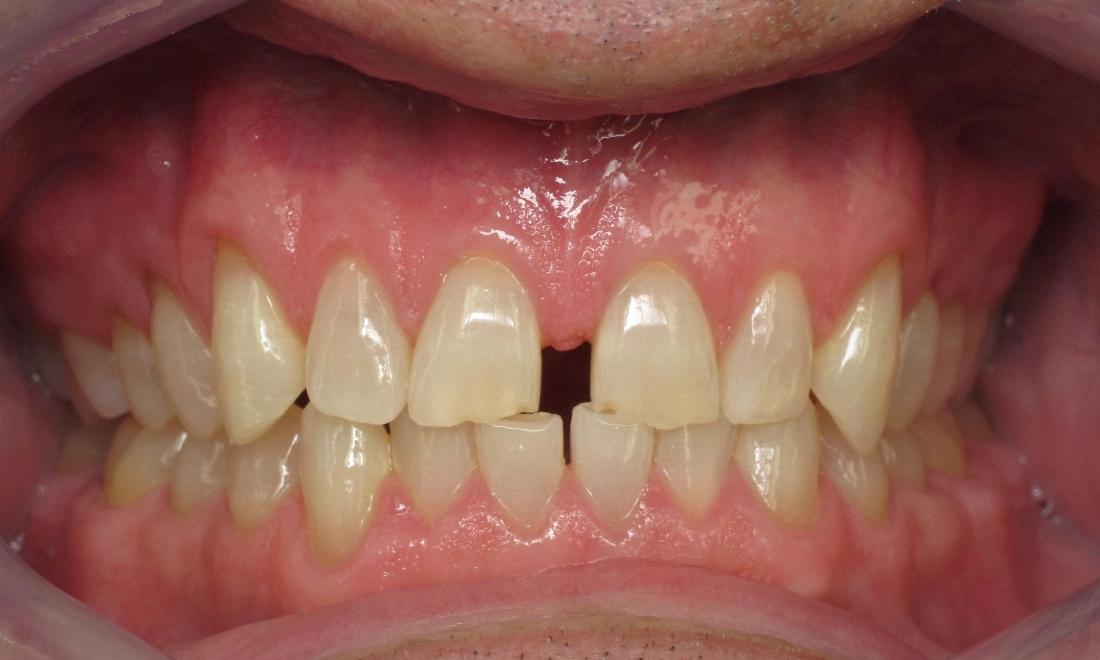
Porcelain Veneers
Porcelain Veneers
Return to Smile Gallery
Next
Related Services:
Cosmetic Dentistry
Place mouse over picture to pause
Before
After
Before
After
Have Questions? Get in Touch
Contact Us
If you have difficulty using our website, please
email us
or call us at
(706) 291-2800
View the
ADA Accessibility Statement
Turn on ADA Views
OK!
×
×
Contact Us Today
Give Us A Call
Edwards Family Dentistry -
(706) 291-2800
Send Us an Email
Ready to Schedule an Appointment?
Book Online
Have Questions? Contact Us:
Required Field
Your Name:
Phone:
Email:
Are you a new patient?:
Are you a?
New Patient
Current Patient
How would you like us to contact you?
Please choose
Email
Call
How did you hear about us?
Please choose
I'm an existing patient
Google/Bing
Mailer
Word of mouth
Social media
Other
Who Referred You?:
Your Message:
This site is protected by reCAPTCHA and the Google
Privacy Policy
and
Terms of Service
apply.
Sending...
×
This Patient's Experience
Loading Testimonial...
Loading Case...